Since the term artificial intelligence (AI) was first used in 1956,1IBM. What is Artificial Intelligence (AI)? https://www.ibm.com/topics/artificial-intelligence. this technology has evolved and become mainstream in everyday life. Examples include the use of AI for social media platforms, networking, chatbots, speech recognition, speech to text programs, recognition of written language, language translation, e-agreement management, customer service, autonomous vehicles and robotics.1IBM. What is Artificial Intelligence (AI)? https://www.ibm.com/topics/artificial-intelligence. ,2Artificial intelligence stocks. https://www.bing.com/search?q=artificial+intelligence+stocks&qs=HS&pq=artificial+intelligence+&sc=10-24&cvid=13C745E6BC0E4B6B8B1443FE8BC09207&FORM=QBRE&sp=1&lq=0. In medicine, AI systems are now involved in a growing number of areas, such as diagnostics; early detection of cancers, neurodegenerative conditions and dementia; treatment prognostics; prediction of sepsis with at-home monitoring, sudden cardiac arrest and other conditions; infection prevention; and management of healthcare supply chains.3Li R, Wang X, Lawler K et al. Applications of artificial intelligence to aid early detection of dementia: A scoping review on current capabilities and future directions. J Biomed Inform 2022;127:104030. doi: 10.1016/j.jbi.2022.104030. ,4Sadasivuni S, Saha M, Bhanushali SP et al. In-Sensor Artificial Intelligence and Fusion With Electronic Medical Records for At-Home Monitoring. IEEE Trans Biomed Circuits Syst 2023;17(2):312-22. doi: 10.1109/TBCAS.2023.3251310.,5Patel M, Surti M, Adnan M. Artificial intelligence (AI) in Monkeypox infection prevention. J Biomol Struct Dyn 2023;41(17):8629-33. doi: 10.1080/07391102.2022.2134214. ,6Holmstrom L, Chugh H, Nakamura K et al. An ECG-based artificial intelligence model for assessment of sudden cardiac death risk. Commun Med 2024;4,17. https://doi.org/10.1038/s43856-024-00451-9.,7Kumar A, Mani V, Jain V et al. Managing healthcare supply chain through artificial intelligence (AI): A study of critical success factors. Comput Ind Eng 2023;175:108815. doi: 10.1016/j.cie.2022.108815. ,8Malcangi M. AI-Based Methods and Technologies to Develop Wearable Devices for Prosthetics and Predictions of Degenerative Diseases. Methods Mol Biol 2021;2190:337-54. doi: 10.1007/978-1-0716-0826-5_17. In addition, wearable electronic monitoring devices offer predictive value for some conditions, and the development of ‘smart/intelligent’ prostheses is rapidly evolving.
What is AI?
AI mimics some tasks performed by the human brain and can be defined as ‘computer systems capable of performing tasks that historically required human intelligence’.1IBM. What is Artificial Intelligence (AI)? https://www.ibm.com/topics/artificial-intelligence. ,9Umer F, Habib S. Critical Analysis of Artificial Intelligence in Endodontics: A Scoping Review. J Endod 2022;48(2):152-60. doi: 10.1016/j.joen.2021.11.007. Machine learning (ML; also known as supervised learning) consists of layers of artificial neurons that form a ‘neural network’ - the input, a hidden neural layer, and the output.10Umer, F. Could AI offer practical solutions for dentistry in the future?. Br Dent J Team 2022;9:26-8. https://doi.org/10.1038/s41407-022-0830-1. This output is obtained through the repeated use of data-driven algorithms to process the input, resulting in improved functionality and performance of the intended tasks.11Das T. What is Artificial Intelligence? Types of AI and Examples. July 8, 2023. https://tech4fresher.com/what-is-artificial-intelligence-ai/.
Figure 1. Neural networks for ML and DL AI systems
Source: Kesse MA et al. Development of an Artificial Intelligence Powered TIG Welding Algorithm for the Prediction of Bead Geometry for TIG Welding Processes using Hybrid Deep Learning. Metals. 2020; 10(4):451. https://doi.org/10.3390/met10040451.
‘Deep learning’ (DL), an advanced form of ML, utilizes multiple hidden neural layers.12Rodrigues JA, Krois J, Schwendicke F. Demystifying artificial intelligence and deep learning in dentistry. Braz Oral Res 2021;35:e094. doi: 10.1590/1807-3107bor-2021.vol35.0094. (Figure 1) Large accurate and balanced training database sets are needed to ‘train’ AI systems. These databases should consist of information on a topic that will sufficiently inform and train the machine (e.g., large database sets of annotated periodontal charts and radiographs to train DL machines that aid in the identification and classification of periodontal disease). Ultimately, AI boils down to one thing – the use of algorithms.
Given the more complex structure of DL neural networks, greater capacity is achieved which enables the automated use of larger amounts of information by the system and increases the utility and scope of AI systems. For example, DL enables the evaluation of 3D imaging and multiple datasets for diagnostic purposes.13Rasteau S, Ernenwein D, Savoldelli C, Bouletreau P. Artificial intelligence for oral and maxillo-facial surgery: A narrative review. J Stomatol Oral Maxillofac Surg 2022;123(3):276-82. doi: 10.1016/j.jormas.2022.01.010. In addition, DL algorithms offer the ability to recognize and learn patterns, making it possible for the system to improve its algorithms. This improves accuracy, without the intervention of subject experts, i.e., it is unsupervised learning.10Umer, F. Could AI offer practical solutions for dentistry in the future?. Br Dent J Team 2022;9:26-8. https://doi.org/10.1038/s41407-022-0830-1.
Figure 2. Processing categories
| Computer vision | Recognizing and identifying visual data |
| Natural language processing | Understanding and contextualizing written words |
| Audio signal processing | Recognizing speech |
Categories of processing are as follows: 1) computer vision - recognizing and identifying visual data; 2) natural language processing - understanding and contextualizing of written words; and 3) audio signal processing for recognizing speech. (Figure 2) With respect to computer vision, DL neural networks referred to as Convolutional Neural Networks (CNNs) are highly optimized for processing 2D and 3D images.
Augmented intelligence, a further term used in relation to AI, refers to AI that assists humans in performing tasks, rather than performing the whole task by machine. ‘Superintelligence’ whereby machines have thinking skills superior to humans is still only a hypothesis.1IBM. What is Artificial Intelligence (AI)? https://www.ibm.com/topics/artificial-intelligence.
In a scoping systematic review, 53 applications of AI were found across 109 studies, addressing the majority of disciplines in dentistry.14Mörch CM, Atsu S, Cai Wet al. Artificial Intelligence and Ethics in Dentistry: A Scoping Review. J Dent Res 2021;100(13):1452-60. doi: 10.1177/00220345211013808. Examples include processing of 2-D and 3-D imaging for the identification and assessment of dental caries, periodontal disease, oral cancer, oral-maxillofacial anomalies and conditions such as cysts, tumors, and TMJ pathology. AI also increases the efficiency of archiving and comparing radiographs over time. Further examples include the use of AI in orthodontics during treatment planning and treatment, in restorative dentistry, prosthodontics and esthetic dentistry. Of note, the interpretation of CBCTs is significantly enhanced by computer vision and neural networks compared to human eyesight.15Pethani F. Promises and perils of artificial intelligence in dentistry. Aust Dent J 2021;66(2):124-35. doi: 10.1111/adj.12812. Recent data on findings for AI in select disciplines is reviewed here.
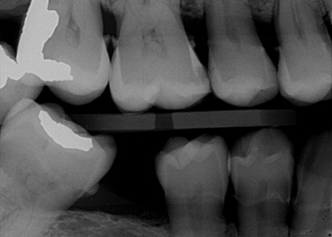
- Figure 3a. Radiographic image
- Figure 3b. Same image with annotations
Source: Overjet, Inc
Dental caries and periodontal disease
AI-enabled programs that assist clinicians have existed for some time, such as evaluating the presence and stage of caries lesions based on computerized analysis of radiographs, assisted periodontal charting based on digital data transmission during a periodontal examination, and patient risk assessment programs. Commercially available AI offers more complex assistance with evaluations and diagnoses. Several start-up companies offer AI systems that can assess multiple types of radiographs to identify teeth, restorations, endodontically-treated teeth, implants, and can identify and evaluate dental caries, calculus, periodontal disease, periapical lesions, other pathologies, and anatomical anomalies. (Figure 3a,b) Results from a number of AI systems are supportive of its use in evaluating bitewing, periapical and panoramic radiographs, and in assessing dental caries, and bone loss quantification.16Schwendicke F, Rossi JG, Göstemeyer G et al. Cost-effectiveness of Artificial Intelligence for Proximal Caries Detection. J Dent Res 2021;100(4):369-76. doi: 10.1177/0022034520972335. ,17Baydar O, Różyło-Kalinowska I, Futyma-Gąbka K, Sağlam H. The U-Net Approaches to Evaluation of Dental Bite-Wing Radiographs: An Artificial Intelligence Study. Diagnostics (Basel) 2023;13(3):453. doi: 10.3390/diagnostics13030453.,18Başaran M, Çelik Ö, Bayrakdar IS et al. Diagnostic charting of panoramic radiography using deep-learning artificial intelligence system. Oral Radiol 2022;38(3):363-9. doi: 10.1007/s11282-021-00572-0.,19Overjet. https://www.overjet.ai/dso/ In a recent study, the ability of a single AI system to detect dental caries as well as periapical periodontitis was found to be more accurate than clinical detection alone among young dentists.20Li S, Liu J, Zhou Z et al. Artificial intelligence for caries and periapical periodontitis detection. J Dent 2022;122:104107. doi: 10.1016/j.jdent.2022.104107. Additionally, the overall accuracy for experts increased with the aid of the AI system and reduced inter-observer differences.
Oral Cancer
AI has been researched for the detection and grading of oral cancer, to differentiate non-malignant and malignant areas, and for prognostics.21Khanagar SB, Alkadi L, Alghilan MA et al. Application and Performance of Artificial Intelligence (AI) in Oral Cancer Diagnosis and Prediction Using Histopathological Images: A Systematic Review. Biomedicines 2023; 11(6):1612. https://doi.org/10.3390/biomedicines11061612.,22Al-Rawi N, Sultan A, Rajai B et al. The Effectiveness of Artificial Intelligence in Detection of Oral Cancer. Int Dent J 2022;72(4):436-47. doi: 10.1016/j.identj.2022.03.001. In a systematic review of 19 articles published between 2000 and January 2023, the AI systems significantly outperformed clinical approaches without the use of AI.21Khanagar SB, Alkadi L, Alghilan MA et al. Application and Performance of Artificial Intelligence (AI) in Oral Cancer Diagnosis and Prediction Using Histopathological Images: A Systematic Review. Biomedicines 2023; 11(6):1612. https://doi.org/10.3390/biomedicines11061612. Findings included a sensitivity (correctly identifying the presence of disease), specificity (correctly identifying the absence of disease) and accuracy of 97.76% to 99.26%, 92% to 99.42% and 89.47% to 100%, respectively. In another review with 17 studies, AI was found to enhance early detection of oral cancer.22Al-Rawi N, Sultan A, Rajai B et al. The Effectiveness of Artificial Intelligence in Detection of Oral Cancer. Int Dent J 2022;72(4):436-47. doi: 10.1016/j.identj.2022.03.001. The sensitivity and specificity for DL ranged from 79% to 98.75% and 82% to 100%, respectively, compared to 94% to 100% and 16% to 100% for ML. Accuracy for DL and ML ranged from 81% to 99.7% and 43.5% to 100%, respectively.
Endodontics
| Table 1. AI research in endodontics |
|---|
| Assessment of pulpal disease, peri-apical pathology and vertical root fractures. |
| Determination of root canal morphology, pulpal cavity segmentation, apical lesion segmentation, force generated during root canal preparation and working length. |
| Evaluation of endodontic treatment failure. |
AI has been researched for the identification and assessment of pulpal disease, peri-apical pathology and vertical root fractures; determination of root canal morphology, pulpal cavity segmentation, force generated during root canal preparation and working length; and, the evaluation of endodontic treatment failure.23Khanagar SB, Alfadley A, Alfouzan K et al. Developments and Performance of Artificial Intelligence Models Designed for Application in Endodontics: A Systematic Review. Diagnostics (Basel) 2023;13(3):414. doi: 10.3390/diagnostics13030414. (Table 1) In a review of 24 articles on endodontic treatment with and without the utilization of AI for the assessment of radiographs, AI systems were found to be effective.24Ramezanzade S, Laurentiu T, Bakhshandah A et al. The efficiency of artificial intelligence methods for finding radiographic features in different endodontic treatments - a systematic review. Acta Odontol Scand 2023;81(6):422-35. doi: 10.1080/00016357.2022.2158929. However, a high level of heterogeneity was found across the studies, and more than half of the studies incurred bias. In a scoping review of AI in endodontics published in 2022, based on 12 studies that focused on periapical pathology and vertical root fractures, mostly used radiograph datasets and often used DL, an accuracy of >90% was found.9Umer F, Habib S. Critical Analysis of Artificial Intelligence in Endodontics: A Scoping Review. J Endod 2022;48(2):152-60. doi: 10.1016/j.joen.2021.11.007. However, only 3 of 12 studies were of high quality. In one of these, DL was used for apical lesion segmentation, with more than 450 panoramic radiographs evaluated, and a sensitivity and precision of 0.92 and 0.84, respectively, were found.25Bayrakdar IS, Orhan K, Çelik Ö et al. A U-Net Approach to Apical Lesion Segmentation on Panoramic Radiographs. Biomed Res Int 2022;2022:7035367. doi: 10.1155/2022/7035367. It was concluded that AI using panoramic radiographs may help with the evaluation of periapical lesions.
Implantology
In a recent systematic review and meta-analysis (2024), 22 articles were included on AI using conventional radiographs for dental implant identification.26Alqutaibi AY, Algabri RS, Elawady D, Ibrahim WI. Advancements in artificial intelligence algorithms for dental implant identification: A systematic review with meta-analysis. J Pros Dent 2023. https://doi.org/10.1016/j.prosdent.2023.11.027. An overall accuracy of approximately 93% was found, and further well-conducted studies on frequently used dental implant systems was recommended. In a systematic review of 17 studies published in 2023, 7 studies focused on predicting successful osseointegration or implant success, with an accuracy ranging from 62% to 80%.27Revilla-León M, Gómez-Polo M, Vyas S et al. Artificial intelligence applications in implant dentistry: A systematic review. J Prosthet Dent 2023;129(2):293-300. doi: 10.1016/j.prosdent.2021.05.008. For a further 7 studies, the accuracy ranged from 94% to 98% for recognition of the implant type. In the 3 remaining studies, implant design modifications proposed by AI included porosity, length, diameter. These studies included evaluations of the ability to accurately evaluate the implant-bone interface and propose implant optimization. It was concluded that further research is necessary to realize the potential of AI as an adjunctive tool.
Advances and Future-looking Developments
AI functionality is evolving and, along with it, the opportunity for clinicians to adjunctively employ AI in the future, with DL and the use of 3D imaging resulting in advances, for example in oral-maxillofacial surgery. In addition, robotics is already in use for minimally invasive procedures, as well as tasks such as orthodontic arch wire bending.28Liu L, Watanabe M, Ichikawa T. Robotics in Dentistry: A Narrative Review. Dent J (Basel) 2023;11(3):62. doi: 10.3390/dj11030062. Other promising areas include AI-driven 3D printing of restorations, and guided procedures. It is anticipated that robotics and AI in combination will expand in use and scope, resulting in enhanced capabilities, accuracy and efficiency for clinical procedures.28Liu L, Watanabe M, Ichikawa T. Robotics in Dentistry: A Narrative Review. Dent J (Basel) 2023;11(3):62. doi: 10.3390/dj11030062.,29Grischke J, Johannsmeier L, Eich L et al. Dentronics: Towards robotics and artificial intelligence in dentistry. Dent Mater 2020;36(6):765-78. doi: 10.1016/j.dental.2020.03.021.
Based on its ability to integrate large datasets on multiple topics into algorithms – such as electronic health records, imaging, traditional patient-specific factors and genomic data) – it is also envisaged that AI will play a role in the development of personalized dentistry (P4 dentistry), tailored to the individual patient’s characteristics and needs.15Pethani F. Promises and perils of artificial intelligence in dentistry. Aust Dent J 2021;66(2):124-35. doi: 10.1111/adj.12812. ,30Hung KF, Yeung AWK, Bornstein MM, Schwendicke F. Personalized dental medicine, artificial intelligence, and their relevance for dentomaxillofacial imaging. Dentomaxillofac Radiol 2023;52(1):20220335. doi: 10.1259/dmfr.20220335. In teledentistry, AI is already being utilized and the outlook is considered promising.31Batra P, Tagra H, Katyal S. Artificial Intelligence in Teledentistry. Discoveries (Craiova) 2022;10(3):153. doi: 10.15190/d.2022.12. Furthermore, AI is contributing to the evolution of dental education, enabling the development of courses that enhance pre-clinical and clinical learning, and the development of decision-making skills.32Ghorbanifarajzadeh M, Mahrous AM, Shazib MA et al. Preparing the Next Generation of Clinicians for Practice Using Augmented and Artificial Intelligence. Compend Contin Educ Dent 2022;43(10):e1-e4. AI-enabled wearable electronics (sensors) are proving valuable in helping clinicians learn to perform surgical procedures with efficient motion (reduced effort) and ergonomically.33Krishnan DG. Artificial Intelligence in Oral and Maxillofacial Surgery Education. Oral Maxillofac Surg Clin North Am 2022;34(4):585-91. doi: 10.1016/j.coms.2022.03.006.
Administrative Tasks
While the focus of this article is on the clinical aspects of AI, AI-enhanced administrative tasks are already performed efficiently and effectively. Examples include voice command AI, whereby the retrieval of radiographs, charts and records can be achieved during procedures (increasing efficiency and reducing the risk of cross-contamination).20Li S, Liu J, Zhou Z et al. Artificial intelligence for caries and periapical periodontitis detection. J Dent 2022;122:104107. doi: 10.1016/j.jdent.2022.104107. Other current uses include with practice management software, rapid treatment validation prior to visits, validated claims, auto-generated claims, and instant processing of payments. It can be anticipated administrative uses will continue to expand, freeing up the dental team for patient care and tasks that cannot be fully or partially performed through the use of AI.
Other Considerations
When evaluating study results, the additive value of AI should be considered with respect to its effectiveness, accuracy and efficiency. One example is the positive additive value of AI to perform faster analysis of CBCT images and with superior accuracy compared to clinicians, increasing effectiveness and efficiency for oral and maxillofacial surgeons. Another is fast, hands-free retrieval of patient records. The relative importance of high sensitivity/recall (zero/low false negatives – correctly identifying the presence of disease), specificity/precision (zero/low false positives – correctly identifying the absence of disease) and accuracy should also be considered.
While adoption of AI is increasing, early adoption was slow, in part due to insufficient knowledge around AI. In a survey conducted in August 2022, among more than 300 responding dental professionals slightly over a third described their knowledge as average, and a further 45% described their knowledge as below average or very poor.34Eschert T, Schwendicke F, Krois J et al. A Survey on the Use of Artificial Intelligence by Clinicians in Dentistry and Oral and Maxillofacial Surgery. Medicina (Kaunas) 2022;58(8):1059. doi: 10.3390/medicina58081059. The majority of respondents believed that AI would improve and standardize diagnostics, however concerns were raised about machine error. Other concerns include the preservation of patient privacy, and the ability to avoid accidental release of medical records and other sensitive patient information together with the potentially extensive harms that could result from this.28Liu L, Watanabe M, Ichikawa T. Robotics in Dentistry: A Narrative Review. Dent J (Basel) 2023;11(3):62. doi: 10.3390/dj11030062. In this regard, safeguards that protect patient privacy and security are necessary and must be compliant with regulations. It has been suggested that AI will result in less communication with patients and more automation, thereby potentially threatening shared decision-making by patients and clinicians.35Huang Y-K, Hsu L-P, Chang Y-C. Artificial intelligence in clinical dentistry: The potentially negative impacts and future actions. J Dent Sci 2022. 17. 10.1016/j.jds.2022.07.013. However, conversely, AI-powered output presented visually may aid communication during patient-clinician interactions and engender increased trust.
Conclusions
DL-driven AI has become a powerful and promising tool, while the range of tasks performed and actual performance are system-dependent.36Hung K, Montalvao C, Tanaka R et al. The use and performance of artificial intelligence applications in dental and maxillofacial radiology: A systematic review. Dentomaxillofac Radiol 2020;49(1):20190107. doi: 10.1259/dmfr.20190107. As noted in recent publications, consistent research across studies and systems is required with respect to decision-making, treatment outcomes, and cost-effectiveness for multiple disciplines in the dental setting.9Umer F, Habib S. Critical Analysis of Artificial Intelligence in Endodontics: A Scoping Review. J Endod 2022;48(2):152-60. doi: 10.1016/j.joen.2021.11.007. ,15Pethani F. Promises and perils of artificial intelligence in dentistry. Aust Dent J 2021;66(2):124-35. doi: 10.1111/adj.12812. ,30Hung KF, Yeung AWK, Bornstein MM, Schwendicke F. Personalized dental medicine, artificial intelligence, and their relevance for dentomaxillofacial imaging. Dentomaxillofac Radiol 2023;52(1):20220335. doi: 10.1259/dmfr.20220335. An increasing number of AI tools are available, including FDA-cleared devices used clinically. It is important when considering adoption of an AI system to look at options that have been validated, and to be able to understand and evaluate the available research on their use, reliability and accuracy.15Pethani F. Promises and perils of artificial intelligence in dentistry. Aust Dent J 2021;66(2):124-35. doi: 10.1111/adj.12812. ,36Hung K, Montalvao C, Tanaka R et al. The use and performance of artificial intelligence applications in dental and maxillofacial radiology: A systematic review. Dentomaxillofac Radiol 2020;49(1):20190107. doi: 10.1259/dmfr.20190107. ,37American Dental Association Standards Committee on Dental Informatics. Dentistry — Overview of Artificial and Augmented Intelligence Uses in Dentistry. SCDI White Paper No. 1106. https://www.ada.org/-/media/project/ada-organization/ada/ada-org/files/resources/practice/dental-standards/ada_1106_2022.pdf. As with all new technologies, adequate initial training is required for the dental team.
It is clear that AI systems can improve efficiency, effectiveness, accuracy, consistency and contribute to quality management of clinical and administrative tasks. Advances in AI continue apace, and it can be foreseen that greater utilization of AI for more and complex procedures and tasks will occur. Ultimately, AI can contribute output for use alongside clinical judgement and enhance decision-making by clinicians and for procedures.
References
- 1.IBM. What is Artificial Intelligence (AI)? https://www.ibm.com/topics/artificial-intelligence.
- 2.Artificial intelligence stocks. https://www.bing.com/search?q=artificial+intelligence+stocks&qs=HS&pq=artificial+intelligence+&sc=10-24&cvid=13C745E6BC0E4B6B8B1443FE8BC09207&FORM=QBRE&sp=1&lq=0.
- 3.Li R, Wang X, Lawler K et al. Applications of artificial intelligence to aid early detection of dementia: A scoping review on current capabilities and future directions. J Biomed Inform 2022;127:104030. doi: 10.1016/j.jbi.2022.104030.
- 4.Sadasivuni S, Saha M, Bhanushali SP et al. In-Sensor Artificial Intelligence and Fusion With Electronic Medical Records for At-Home Monitoring. IEEE Trans Biomed Circuits Syst 2023;17(2):312-22. doi: 10.1109/TBCAS.2023.3251310.
- 5.Patel M, Surti M, Adnan M. Artificial intelligence (AI) in Monkeypox infection prevention. J Biomol Struct Dyn 2023;41(17):8629-33. doi: 10.1080/07391102.2022.2134214.
- 6.Holmstrom L, Chugh H, Nakamura K et al. An ECG-based artificial intelligence model for assessment of sudden cardiac death risk. Commun Med 2024;4,17. https://doi.org/10.1038/s43856-024-00451-9.
- 7.Kumar A, Mani V, Jain V et al. Managing healthcare supply chain through artificial intelligence (AI): A study of critical success factors. Comput Ind Eng 2023;175:108815. doi: 10.1016/j.cie.2022.108815.
- 8.Malcangi M. AI-Based Methods and Technologies to Develop Wearable Devices for Prosthetics and Predictions of Degenerative Diseases. Methods Mol Biol 2021;2190:337-54. doi: 10.1007/978-1-0716-0826-5_17.
- 9.Umer F, Habib S. Critical Analysis of Artificial Intelligence in Endodontics: A Scoping Review. J Endod 2022;48(2):152-60. doi: 10.1016/j.joen.2021.11.007.
- 10.Umer, F. Could AI offer practical solutions for dentistry in the future?. Br Dent J Team 2022;9:26-8. https://doi.org/10.1038/s41407-022-0830-1.
- 11.Das T. What is Artificial Intelligence? Types of AI and Examples. July 8, 2023. https://tech4fresher.com/what-is-artificial-intelligence-ai/.
- 12.Rodrigues JA, Krois J, Schwendicke F. Demystifying artificial intelligence and deep learning in dentistry. Braz Oral Res 2021;35:e094. doi: 10.1590/1807-3107bor-2021.vol35.0094.
- 13.Rasteau S, Ernenwein D, Savoldelli C, Bouletreau P. Artificial intelligence for oral and maxillo-facial surgery: A narrative review. J Stomatol Oral Maxillofac Surg 2022;123(3):276-82. doi: 10.1016/j.jormas.2022.01.010.
- 14.Mörch CM, Atsu S, Cai Wet al. Artificial Intelligence and Ethics in Dentistry: A Scoping Review. J Dent Res 2021;100(13):1452-60. doi: 10.1177/00220345211013808.
- 15.Pethani F. Promises and perils of artificial intelligence in dentistry. Aust Dent J 2021;66(2):124-35. doi: 10.1111/adj.12812.
- 16.Schwendicke F, Rossi JG, Göstemeyer G et al. Cost-effectiveness of Artificial Intelligence for Proximal Caries Detection. J Dent Res 2021;100(4):369-76. doi: 10.1177/0022034520972335.
- 17.Baydar O, Różyło-Kalinowska I, Futyma-Gąbka K, Sağlam H. The U-Net Approaches to Evaluation of Dental Bite-Wing Radiographs: An Artificial Intelligence Study. Diagnostics (Basel) 2023;13(3):453. doi: 10.3390/diagnostics13030453.
- 18.Başaran M, Çelik Ö, Bayrakdar IS et al. Diagnostic charting of panoramic radiography using deep-learning artificial intelligence system. Oral Radiol 2022;38(3):363-9. doi: 10.1007/s11282-021-00572-0.
- 19.Overjet. https://www.overjet.ai/dso/
- 20.Li S, Liu J, Zhou Z et al. Artificial intelligence for caries and periapical periodontitis detection. J Dent 2022;122:104107. doi: 10.1016/j.jdent.2022.104107.
- 21.Khanagar SB, Alkadi L, Alghilan MA et al. Application and Performance of Artificial Intelligence (AI) in Oral Cancer Diagnosis and Prediction Using Histopathological Images: A Systematic Review. Biomedicines 2023; 11(6):1612. https://doi.org/10.3390/biomedicines11061612.
- 22.Al-Rawi N, Sultan A, Rajai B et al. The Effectiveness of Artificial Intelligence in Detection of Oral Cancer. Int Dent J 2022;72(4):436-47. doi: 10.1016/j.identj.2022.03.001.
- 23.Khanagar SB, Alfadley A, Alfouzan K et al. Developments and Performance of Artificial Intelligence Models Designed for Application in Endodontics: A Systematic Review. Diagnostics (Basel) 2023;13(3):414. doi: 10.3390/diagnostics13030414.
- 24.Ramezanzade S, Laurentiu T, Bakhshandah A et al. The efficiency of artificial intelligence methods for finding radiographic features in different endodontic treatments - a systematic review. Acta Odontol Scand 2023;81(6):422-35. doi: 10.1080/00016357.2022.2158929.
- 25.Bayrakdar IS, Orhan K, Çelik Ö et al. A U-Net Approach to Apical Lesion Segmentation on Panoramic Radiographs. Biomed Res Int 2022;2022:7035367. doi: 10.1155/2022/7035367.
- 26.Alqutaibi AY, Algabri RS, Elawady D, Ibrahim WI. Advancements in artificial intelligence algorithms for dental implant identification: A systematic review with meta-analysis. J Pros Dent 2023. https://doi.org/10.1016/j.prosdent.2023.11.027.
- 27.Revilla-León M, Gómez-Polo M, Vyas S et al. Artificial intelligence applications in implant dentistry: A systematic review. J Prosthet Dent 2023;129(2):293-300. doi: 10.1016/j.prosdent.2021.05.008.
- 28.Liu L, Watanabe M, Ichikawa T. Robotics in Dentistry: A Narrative Review. Dent J (Basel) 2023;11(3):62. doi: 10.3390/dj11030062.
- 29.Grischke J, Johannsmeier L, Eich L et al. Dentronics: Towards robotics and artificial intelligence in dentistry. Dent Mater 2020;36(6):765-78. doi: 10.1016/j.dental.2020.03.021.
- 30.Hung KF, Yeung AWK, Bornstein MM, Schwendicke F. Personalized dental medicine, artificial intelligence, and their relevance for dentomaxillofacial imaging. Dentomaxillofac Radiol 2023;52(1):20220335. doi: 10.1259/dmfr.20220335.
- 31.Batra P, Tagra H, Katyal S. Artificial Intelligence in Teledentistry. Discoveries (Craiova) 2022;10(3):153. doi: 10.15190/d.2022.12.
- 32.Ghorbanifarajzadeh M, Mahrous AM, Shazib MA et al. Preparing the Next Generation of Clinicians for Practice Using Augmented and Artificial Intelligence. Compend Contin Educ Dent 2022;43(10):e1-e4.
- 33.Krishnan DG. Artificial Intelligence in Oral and Maxillofacial Surgery Education. Oral Maxillofac Surg Clin North Am 2022;34(4):585-91. doi: 10.1016/j.coms.2022.03.006.
- 34.Eschert T, Schwendicke F, Krois J et al. A Survey on the Use of Artificial Intelligence by Clinicians in Dentistry and Oral and Maxillofacial Surgery. Medicina (Kaunas) 2022;58(8):1059. doi: 10.3390/medicina58081059.
- 35.Huang Y-K, Hsu L-P, Chang Y-C. Artificial intelligence in clinical dentistry: The potentially negative impacts and future actions. J Dent Sci 2022. 17. 10.1016/j.jds.2022.07.013.
- 36.Hung K, Montalvao C, Tanaka R et al. The use and performance of artificial intelligence applications in dental and maxillofacial radiology: A systematic review. Dentomaxillofac Radiol 2020;49(1):20190107. doi: 10.1259/dmfr.20190107.
- 37.American Dental Association Standards Committee on Dental Informatics. Dentistry — Overview of Artificial and Augmented Intelligence Uses in Dentistry. SCDI White Paper No. 1106. https://www.ada.org/-/media/project/ada-organization/ada/ada-org/files/resources/practice/dental-standards/ada_1106_2022.pdf.




