Multidisciplinary case study on an partially edentulous adult patient

I. PATIENT’S BACKGROUND

  • Ms. N.
  • 49 years old F
  • Works in a daycare and just got hired as a nurse auxiliary.
  • From Algeria
  • Married with 3 kids.
  • Presents to our school Oral diagnosis screening clinic with CC: “All my teeth are breaking down. I am very worried”

II. APPOINTMENT 1: MEDICAL HISTORY

  • Partial left thyroidectomy 2 years ago
  • Medications: vitamin D, Synthroid

III. PATIENT’S SOCIAL DETERMINANTS OF ORAL HEALTH

  • Income distribution: Ms. N. is not working and has limited or non existent dental insurance
  • Unemployment: Ms. N. has been unemployed for years which is possibly the reason why she opted for extraction of her teeth instead of getting crowns or restorations
  • Education: Ms. N. did not finish her high school and her general knowledge about oral health and dentistry was limited at the time of our first consult.
  • Food insecurity: Ms. N. is missing so many posterior teeth that chewing is almost impossible so she tends to consume soft food, fast food and sugar loaded drinks which contributed to aggravating her oral health overtime.

IV. ADDITIONAL INFORMATION

  • Diet (limited due to dentition : mainly soft food, nuts)
  • Brushing habits (twice a day with manual toothbrush, flosses 3-4 x / week)
  • Allergic to rovamycin
  • LDV: 2017 for check up
  • Had upper and lower partial dentures made by a dentist cousin in Algeria. She stopped wearing them because they did not fit well and the lingual bar was bothering her.

V. COMPLETE ODONTOGRAM

VI. CLINICAL FINDINGS

  • Extra-oral exam:
    • Bilateral crepitus on opening
    • Slight left deviation on opening
    • Patient reports discomfort on left TMJ during wide opening
  • IOE:
    • Soft tissue whitish macule on inside right cheek not painful not raised. Small bump that appeared last week on palate according to patient (to monitor, may be a tori)
    • PSR: 43X/222. X = no tooth in sextant
    • Dentition : Percussion test positive on 11 (US # 8) and 21 (US # 9), Mobility 1 on #12 (US # 7), Mobility 3 on #44 (US # 28)
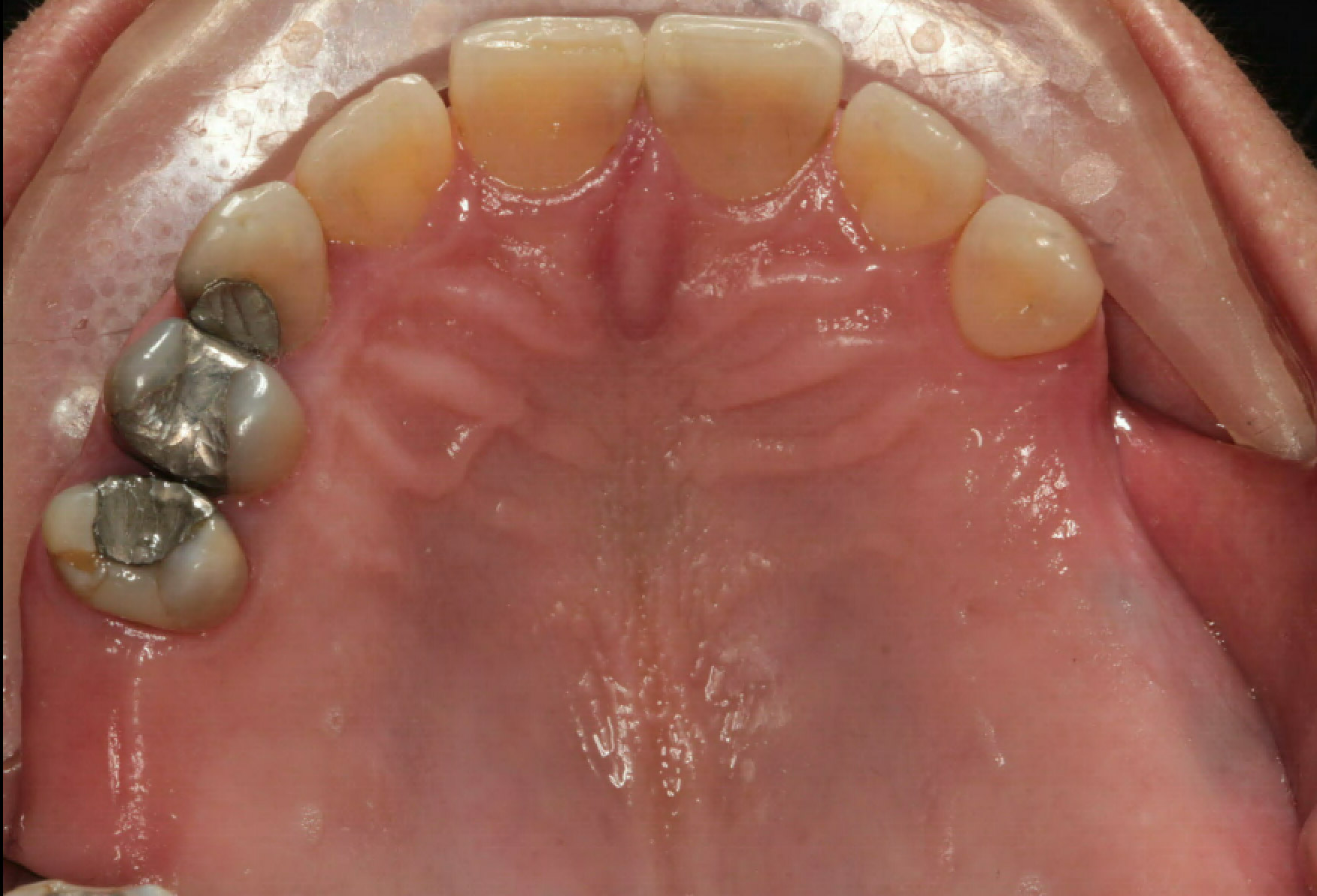
    • Missing teeth: 18,17,16,24,25,26,27,28,38,37,36,46,48. (US # 1, 2, 3, 12, 13, 14, 15, 16, 18, 19, 30 and 32)
    • Hopeless teeth (fractured #44 and #45) (US # 28 and 29)
    • Active decay on : 15B (US # 4B),13BM (US # 6BM), 11B (US # 8B), 21B (US # 9B), 22BD (US # 10BD), 12BM (US # 7BM), 35B (US # 20B), 34B (US # 21B), 46M/46D (US # 30 M,D)

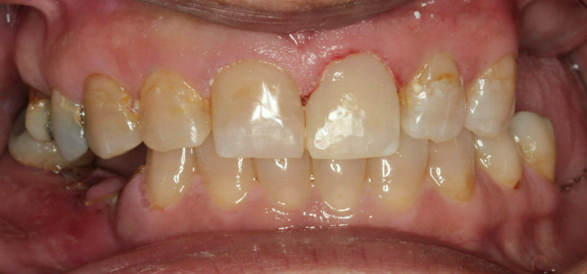
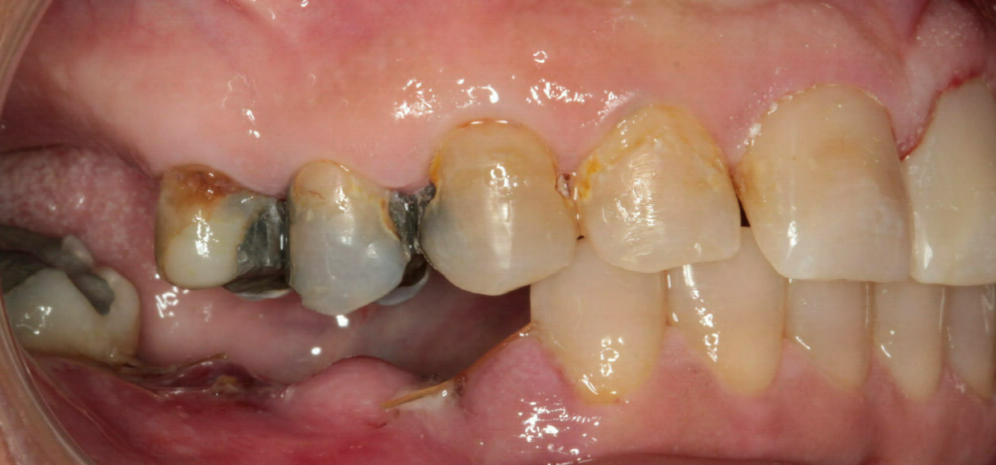
VII. INTRA ORAL PICTURES

Intra Oral Pictures (1)
(Treatment in progress)

Intra Oral Pictures (2)

VIII. PANOREX

Extracted teeth : see previously
Bone pattern: WNL. No bone pathologies. Mild to Moderate vertical bone loss in Q3.
Sinuses: Minimal Pneumatization
Impacted: None

Note: The student who took the panorex forgot to ask the patient to take off her earrings

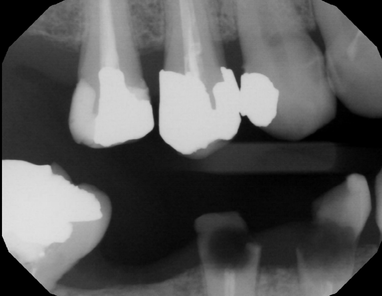
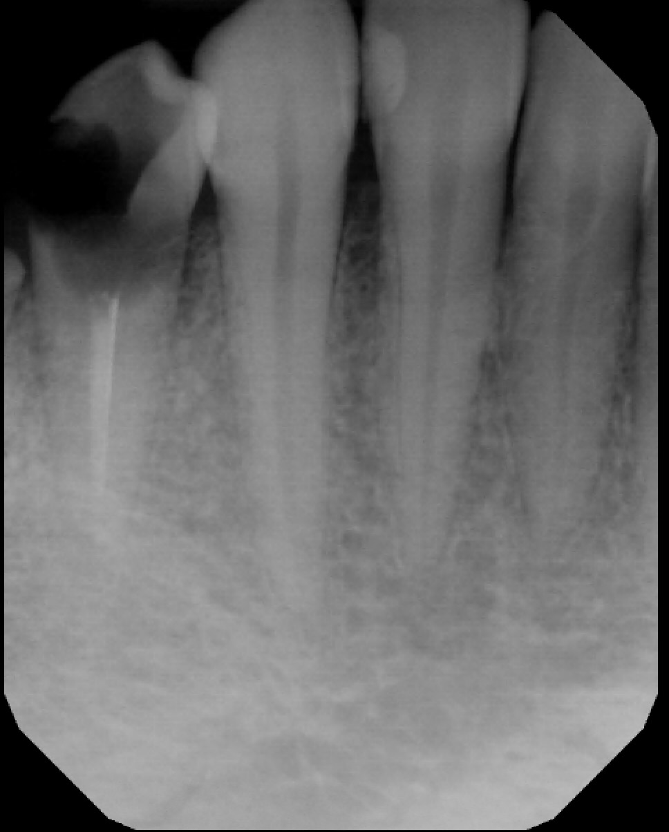
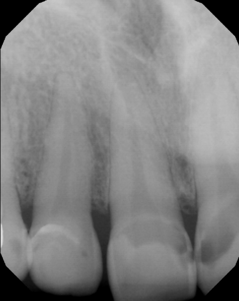
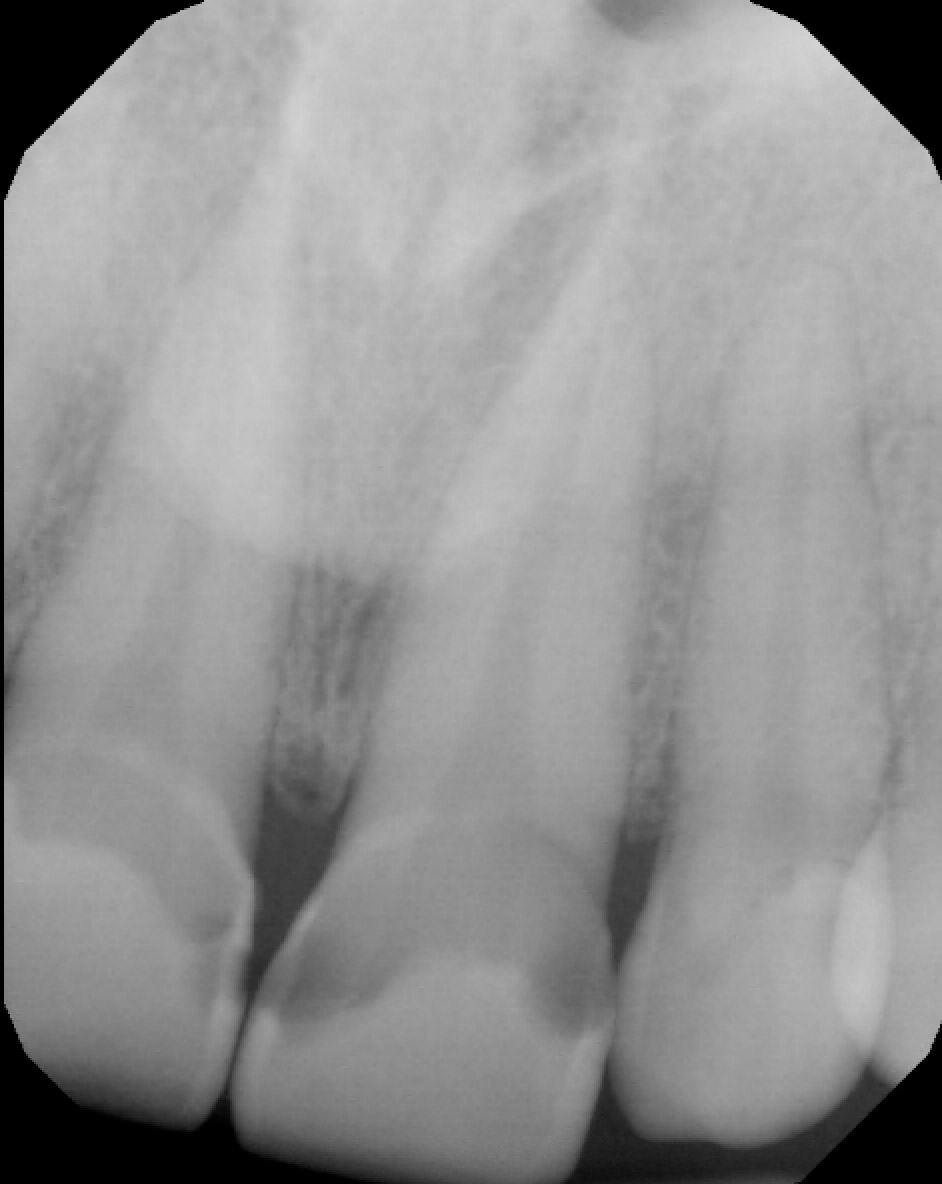
IX. RADIOGRAPHS

Note: 11 (US # 8) and 21 (US # 9) have caries into the pulp and peri apical lesions

X. RADIOGRAPHIC FINDINGS

  • Caries: 13 M (D) (US # 6), 12 D (D) (US # 7), 11 M (D) (US # 8), 21 M/D (D) (US # 9), 42 M (E) (US # 26), 43 M (E) (US # 27)
  • Residual roots: 45 (US # 29). Fractured: 44 (US # 28).
  • Endodontic fillings: 15, 14, 44, 45, 47* (US # 4, 5, 28, 29 and 31*)
  • Periapical lesion on 11 (US # 8) and 21 (US # 9): correlates with the clinical finding of eroded teeth down to the dentin (almost the dentino-pulp junction)
  • Note : The root canal on tooth 47 (US # 31) was done in Algeria and seems to have been an attempt. There is a broken instrument in one of the canals.

XI. STAGING/GRADING

Patient falls into the category of Stage IV Grade B periodontitis as the new AAP classification (2018)

XII. MEDICAL AND DIETARY CONSIDERATIONS

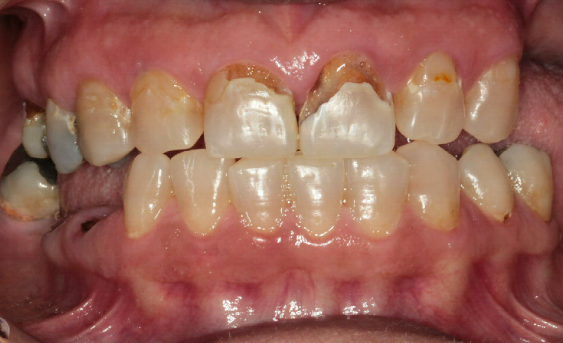
  • Deep dental caries
  • No posterior occlusion
  • Loses teeth year after year. 11 and 21 (US # 8 and 9) in a questionable state.
  • Medications: Synthroid and vit D
  • Diet: Coffee, nuts mix and frequent snacking, fresh lemon in a glass of water 4-5x a day.

XIII. MANAGEMENT & ORAL HEALTH INSTRUCTIONS

  • Prevident (to stop progression of current carious lesions and prevent future caries)
  • Switching to electric toothbrush
  • Floss every day
  • Avoid carbonated drinks
  • Limit snacking
  • Brush teeth right after eating cariogenic food
  • Decrease and ideally stop consuming so much lemon due to high levels of acidity.

XIV. CARIES RISK ASSESSMENT

Patient seems to be at moderate risk of developing caries at the moment she came to see us.
➝ She frequently snacks and was not using fluoridated products. According to what the patient reported, she lost many teeth due to caries (which could make her fit into the high risk category)

However, her risk factors may be modifiable
➝ She does not have a low salivary excretion, and she is very motivated and has shown exemplary compliance since she was treated within our facility.

XV. TREATMENT PLAN

(Part 1)

  • Scaling and Root planing.
  • Prophy and fluoride
  • OHI
  • Extraction residual roots/fractured teeth 44 and 45 (US # 28 and 29)
  • Restorations of cavitated caries (URGENT: 11 + 21 pretreatment for endo) (US # 8 and 9)
  • Start Fabrication of upper and lower partial dentures (US # 8 and 9)
  • Root canal of 11 and 21 (US # 8 and 9)
  • CCL 11 and 21 (US # 8 and 9)
  • Crown 11 and 21 (US # 8 and 9)

(Part 2)
WHY THIS CHRONOLOGY FOR THE TREATMENT PLAN?

  • It was clear that one of the main chief complaints and issues we found with this patient was the fact that all of her teeth were breaking down. She mentioned that all of her previous teeth had had the same fate and were breaking down before being extracted.
  • She only eats with her anterior teeth since she has no posterior occlusion.
  • Emergency: Repair 11 and 21 (US # 8 and 9) then re-establish her posterior occlusion by fabricating the partial dentures as soon as possible.

APPOINTMENT 2

  • Root planing and scaling
  • Restoration of tooth 11 (US # 8) : pretreatment for future Root canal treatment.
  • Removed decay to sound dentin
  • Applied theracal to the pulp, Etched with 38% phosphoric acid, optibond and restored with composite (shade A2 + A3 to create color gradient) chosen with the patient.
  • Patient loves the esthetic and the quality of the work provided
  • Alginate impressions for study models and future fabrication of upper and lower partials

APPOINTMENT 3

  • Extraction fractured 44 (US #28) and residual root 45 (US # 29).

APPOINTMENT 4

  • Endo consultations reveal the following findings:
    • Tooth 11 (US # 8): percussion -, tooth sleuth +, Endo ice test +++
      • Reassessment of need for Root canal (tooth is vital and not necrotic according to our tests)

        • Endo diagnosis: Pulp diagnosis: Reversible pulpitis
          • Periradicular diagnosis: Symptomatic Apical Periodontitis (SAP)
    • Tooth 21 (US # 9): percussion +, tooth sleuth +, Endo ice test +++ (very sensitive)
      • Reassessment of need for Root canal (tooth is vital and not necrotic according to our tests)
        • Endo diagnosis: Pulp diagnosis: Reversible pulpitis
    • Periradicular diagnosis: Symptomatic Apical Periodontitis (SAP)
    • Conclusion: The radiolucencies seen at the apex of 11 and 21 (US # 8 and 9) were not periapical lesions. I retook a PA with a different angle (see next slide)
  • Prostho consultation: It was decided to restore 21 the same way 11 was restored due to the high quality outcome of the restoration and reevaluate the need for RCT, CCL and crown in 4 weeks, hoping the pulp will reverse to normal and not be sensitive anymore.
  • Additional radiographs

Note: No periapical lesion is noted on 11 and 21 (US # 8 and 9).

APPOINTMENT 5

  • Restoration of 21 (US # 9) (same technique as for tooth 11)
  • Prophy and fluoride (not done during appointment 2 in order to avoid possible inflammation post SRP)
  • Follow – up on 44 and 45 extractions (US # 28 and 29): Adequate healing process. No sign of post-op complications.

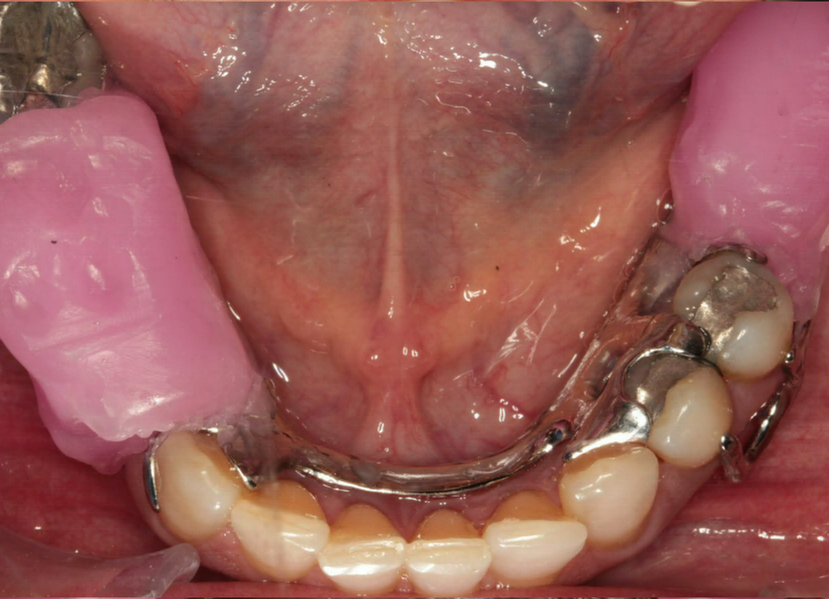
Intra Oral Pictures (3)
(Treatment in progress)

APPOINTMENT 6
Start of the dentures

  • Prepared customed trays. Border moulding and PVS final impressions for making of metal framework.
  • Mouth modifications (created occlusal/cingulum rests and guiding planes for additional support)
  • 47 (US # 31) has a questionable prognosis due to high restored tooth and 2 additional class 5 caries mesio-distally. We decided to design the partial denture so that we could add a denture tooth if the patient

APPOINTMENT 7

  • Evaluation of initial therapy (6-8 weeks post SRP) ➝ improvement
  • Full mouth perio charting
  • Reinforced OHI. Patient scheduled on a 4 month perio maintenance cleaning to reduce the 5 mm pockets down to 3 mm.
  • Continued the fabrication process of the dentures. Send custom trays PVS impressions to the lab for mouth try in
  • In order to be efficient, I started treating the cavitated lesions noted (refer to slide…) while the lab was making the try in.

BEFORE / AFTER SRP

APPOINTMENT 8

  • Metal framework try in, occlusal rim and bite registration, and selection of shade/shape of acrylic teeth for upper and lower partial dentures.
  • Reassessment of endo status of teeth 11 and 21 (US # 8 and 9) and need for crowns ➝ cold test reveals that teeth are vital albeit pulp exposure during removal of deep decay. Patient experiences less pain to hot and cold and seems to not need a root canal, Clinical Crown Lengthening (CCL) and crowns on 11 and 21 (US # 8 and 9).

Intra Oral Pictures (4)

APPOINTMENT 9 (January 2020)

  • Tooth try in
  • Verify form, function and esthetics of partial dentures
  • Sent to lab for acrylization and festooning
  • Perio recall exam + cleaning.

APPOINTMENT 10 (February 2020)

  • Partials delivery and maintenance instructions explained
  • Follow up.

APPENDIX (Some literature review)

  1. Occlusal force is correlated with cognitive function directly as well as indirectly via food intake in community dwelling older Japanese: From the SONIC study
    Kazunori Ikebe 1, Yasuyuki Gondo 2, Kei Kamide 3, Yukie Masui 4, Taturo Ishizaki 4, Yasumichi Arai 5, Hiroki Inagaki 4, Takeshi Nakagawa 6, Mai Kabayama 3, Hirochika Ryuno 3, Hitomi Okubo 7, Hajime Takeshita 1, Chisato Inomata 1, Yuko Kurushima 1, Yusuke Mihara 1, Kohdai Hatta 1, Motoyoshi Fukutake 1, Kaori Enoki 1, Taiji Ogawa 1, Ken-Ichi Matsuda 1, Ken Sugimoto 8, Ryosuke Oguro 8, Yoichi Takami 8, Norihisa Itoh 8, Yasushi Takeya 8, Koichi Yamamoto 8, Hiromi Rakugi 8, Shinya Murakami 9, Masahiro Kitamura 9, Yoshinobu Maeda 1

    • First investigation of the association between masticatory function and cognitive function among a large sample of older adults.
    • Masticatory function assessed via chewing tests and questionnaires.
    • Several factors taken into consideration: SES, psychological, dietary intakes, genetic factors.
    • Mastication activates brain function. Lack of antioxidant nutrients (Vit E + C, carotenoids etc.) can be a RF for decreased cognitive function.
  2. Informed consumer or unlucky visitor? A profile of German patients who received dental services abroad
    Dimitra Panteli 1, Uta Augustin 1, Julia Röttger 1, Verena Struckmann 1, Frank Verheyen 2, Caroline Wagner 2, Reinhard Busse 1

    • Looked at the german population looking for emergency (endo, fillings) in Western Europe or non emergency treatments (dentures) in neighbouring countries (Eastern Europe)
    • Sent postal survey. The majority of the german patients are happy with service.
    • Complications noticed due to lack of follow-up.
    • 40% did not look for information and quality of service before their trip. 59% informed themselves prior to treatment.
    • Unplanned service patients had higher scoring of satisfaction and more follow-ups.
    • Follow up: 56% did not need it, 29% had scheduled f/u, 12% needed emergency treatment due to complications.
    • Planned service patients seeked follow up with local dentist and most received it (89%)
    • OVERALL: 70% satisfied and likely to do medical tourism again. 2% only said they would not want to repeat the experience.

WHAT IS NEXT ON THE LIST? (AS OF DECEMBER 9th )

  • Continue restorations
  • Periodontics maintenance recall cleaning
  • Deliver and follow up on partial dentures.
  • Continue stressing the importance of Oral health instructions and keep improving the patient’s diet and controlling her risk factors.

THANK YOU!

Downloadable Resources:

Login to access