Periodontitis and Implant Complications: Update on the Linkage
Dental implants have transformed dental practice, offering clinical solutions to address tooth loss that otherwise would be treated with less satisfactory approaches. Nevertheless, as is true for all clinical procedures, complications occur and identifying risk factors for these complications is critical for decision-making and ultimately reducing unwanted outcomes. Further, modifiable risk factors can be addressed prior to implant placement with the goal of improving outcomes.
The potential importance of a history of periodontitis as a risk factor for implant complications [peri-implant mucositis, peri-implantitis (Table 1, Figures 1 and 2 ) as well as loss of the implant] represents a fundamental consideration when developing a treatment planning for a patient who is a candidate for dental implants. What are the important questions regarding periodontitis as a risk factor for implant complications?
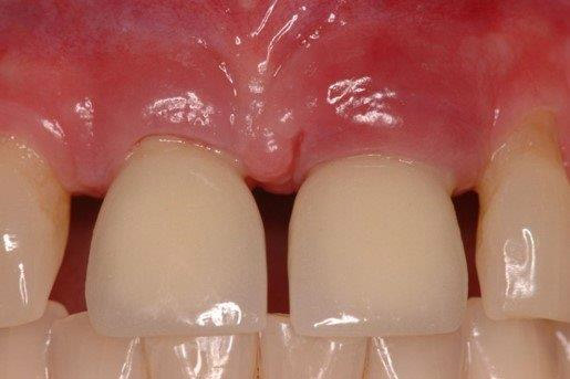
- 
				Figure 1
 clinical example of peri-implant mucositis (courtesy of Dr. Liran Levin)
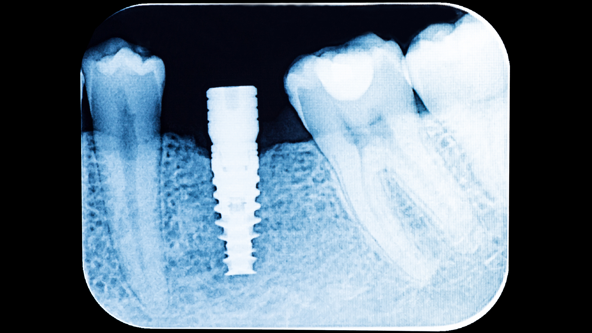
- 
				Figure 2
 radiograph illustrating peri-implantitis (courtesy of Dr. Liran Levin)
		
- For the edentulous patient, does a history of periodontitis, and tooth loss related to periodontitis, increase the risk of implant complications?
- For the partially dentate patient, does a history of periodontitis, and the presence of periodontitis affecting the remaining dentition, increase the risk of implant complications? Are there specific periodontitis-associated variables and implant characteristics that have been examined for their effect on implant outcomes?
Some background information about the anatomy and histology of the tooth/implant interface is worth reviewing. The roots of the teeth are within the alveolar bone, with the attachment categorized as a gomphosis (the attachment of a mineralized structure into a cavity in bone). A thin periodontal ligament connects the bone surface to the root surface, which is covered by a thin layer of cementum. In contrast, after implant insertion and healing, implants with a metal (titanium) surface are in direct contact with the alveolar bone, in a process known as osseointegration. Osseointegration is an ankylosis, where the implant is stable and functions as part of the bone in which it resides.
In the healthy situation, a fully erupted tooth is attached to the overlying gingiva via the junctional epithelium at the apex of the sulcus. Here the epithelium attaches to the most apical enamel and cementum on the root surface. Similarly, the attachment of the mucosal tissue to the implant also demonstrates a junctional epithelium. However, the primary structural difference between the tooth-soft tissue attachment and implant-soft tissue attachment is the orientation of the collagen fibers in the connective tissue. For teeth, the collagen fibers insert into the cementum of the tooth in a perpendicular fashion. For implants, the fibers originate at the periosteal surface of the bone, and are in a parallel orientation to the implant surface 1Ivanovski S, Lee R. Comparison of peri-implant and periodontal marginal soft tissues in health and disease. Periodontol 2000 2018;76:116-130.. Further, when comparing periodontitis to peri-implantitis, there are similarities but differences exist as well 2Heitz-Mayfield LJ, Lang NP. Comparative biology of chronic and aggressive periodontitis vs. peri-implantitis. Periodontol 2000 2010;53:167-181.. Both disorders are initiated and progress as a result of accumulation of biofilm. Gram-negative microorganisms predominate in both conditions, but Staphylococcus aureus appears to be an important pathogen in peri-implantitis. In addition, the extent and severity of the inflammatory lesion appears to be greater in peri-implantitis than periodontitis 3Galindo-Moreno P, Lopez-Martinez J, Caba-Molina M, et al. Morphological and immunophenotypical differences between chronic periodontitis and peri-implantitis - a cross-sectional study. Eur J Oral Implantol 2017;10:453-463.. This may be related to the anatomical differences in the most coronal aspect of the soft tissues.
A number of earlier systematic and other reviews have concluded that the periodontitis-susceptible individual is also susceptible to implant complications, including peri-implant mucositis, peri-implantitis and loss of the implant 4Chrcanovic BR, Albrektsson T, Wennerberg A. Periodontally compromised vs. periodontally healthy patients and dental implants: a systematic review and meta-analysis. J Dent 2014;42:1509-1527.,5Zangrando MS, Damante CA, Sant'Ana AC, Rubo de Rezende ML, Greghi SL, Chambrone L. Long-term evaluation of periodontal parameters and implant outcomes in periodontally compromised patients: a systematic review. J Periodontol 2015;86:201-221.,6Sgolastra F, Petrucci A, Severino M, Gatto R, Monaco A. Periodontitis, implant loss and peri-implantitis. A meta-analysis. Clin Oral Implants Res 2015;26:e8-e16.,7Renvert S, Quirynen M. Risk indicators for peri-implantitis. A narrative review. Clin Oral Implants Res 2015;26 Suppl 11:15-44.,8Ting M, Craig J, Balkin BE, Suzuki JB. Peri-implantitis: A comprehensive overview of systematic reviews. J Oral Implantol 2018;44:225-247.. In addition, increased severity of periodontitis increases the risk for implant complications9Monje A, Alcoforado G, Padial-Molina M, Suarez F, Lin GH, Wang HL. Generalized aggressive periodontitis as a risk factor for dental implant failure: a systematic review and meta-analysis. J Periodontol 2014;85:1398-1407.,10Sousa V, Mardas N, Farias B, et al. A systematic review of implant outcomes in treated periodontitis patients. Clin Oral Implants Res 2016;27:787-844. though not all reviews conclude that periodontitis is a primary risk factor11Liddelow G, Klineberg I. Patient-related risk factors for implant therapy. A critique of pertinent literature. Aust Dent J 2011;56:417-426; quiz 441.. It can be difficult to specifically define the contribution of periodontitis to implant complications because other risk factors related to periodontitis have also been shown to be risk factors for implant complications (i.e. smoking, failure to maintain a regular recall schedule). While the increased risk of implant failure in persons with a history of periodontitis is relatively modest, the frequency of peri-implant mucositis and peri-implantitis is higher in patients with a history of periodontitis12Ali K, Kay EJ. What are the long-term survival and complication rates of complete-arch fixed implant rehabilitation in edentulous patients? Evid Based Dent 2019;20:97-98..
Recent reports have helped to further define the relationship of a history periodontitis and implant complications.
Question #1:
Edentulous patients who have a history of periodontitis represent an interesting cohort for study. Since the teeth have been removed, the nature of the oral infection has changed as all subgingival environments have been eliminated. However, there is a paucity of research regarding the risk of implant complications in edentulous patients with a history of periodontitis. This is likely due to the fact that there are a number of reasons for tooth loss (dental caries, periodontitis, trauma), the history of tooth loss cannot always be documented, and it is likely that for any patient, the reasons for tooth loss are complex. An interesting report on implant complications experienced by edentulous patients who received dental implants reported data from a large cohort (4,049 patients who received a total of 24,781 implants)13Jemt T. Implant failures and age at the time of surgery: A retrospective study on implant treatment in 2915 partially edentulous jaws. Clin Implant Dent Relat Res 2019;21:686-692.. They observed that the percent of implants lost was greater in younger patients, which means that implant retention was greater in older patients. The range in implant survival was 83.4% (30-39 years) to 91.0% (>79 years). The higher failure rate in younger patients suggests that a history of rapidly progressive oral disease (periodontitis, dental caries) is a risk factor for implant complications.
Question #2:
A number of recent reports have further defined the risk of implant complications for partially dentate patients with a history of periodontitis.
A study examined implant status relative to the severity of the periodontal disease in the adjacent tooth. As compared to sites without periodontitis and contralateral sites, implants adjacent to teeth with increased probing depth and clinical attachment loss demonstrated evidence of peri-implantitis14Sung CE, Chiang CY, Chiu HC, Shieh YS, Lin FG, Fu E. Periodontal status of tooth adjacent to implant with peri-implantitis. J Dent 2018;70:104-109.. These findings suggest a local environmental effect on implant health. Another report examined the soft tissue biotype associated with implants in relation to implant complications. Thin (versus thicker) tissue was associated with greater bleeding on probing, recession, attachment loss and loss of margin bone. They did not observe differences in terms of plaque accumulation or probing depth15Isler SC, Uraz A, Kaymaz O, Cetiner D. An evaluation of the relationship between peri-implant soft tissue biotype and the severity of peri-implantitis: A cross-sectional study. Int J Oral Maxillofac Implants 2019;34:187-196..
Examination of implant health in areas of sinus augmentation indicated greater bone loss about the implants 5 years after implant placement being associated with number of risk factors in a univariate analysis, including smoking (p>0.005), history of periodontitis (p=0.001) and if plaque was present (p = 0.041). In a multivariate analysis, smoking (odds ratio = 6.6) and a history of periodontitis (odds ratio of = 4.5) were significant risk factors16Krennmair S, Hunger S, Forstner T, Malek M, Krennmair G, Stimmelmayr M. Implant health and factors affecting peri-implant marginal bone alteration for implants placed in staged maxillary sinus augmentation: A 5-year prospective study. Clin Implant Dent Relat Res 2019;21:32-41..
A number of reports have examined plaque/biofilm accumulation, and adherence to a maintenance program, as risk factors for complications in patients with dental implants, who also have a history of periodontitis. In 2015, a review of prevention of implant complications was published that relied on the conclusions of previous systematic reviews on this subject17Jepsen ME, Gniadecki R. Treatment of primary cutaneous anaplastic large cell lymphoma with superficial x-rays. Dermatol Reports 2015;7:5888.. While this consensus paper did not specifically address implant complications in patients with a history of periodontitis, the conclusions are worth reviewing because they likely will apply to all implant patients, regardless of whether there was a history of periodontitis or not:
- The prevalence of peri-implant mucositis and peri-implantitis were high, being 43% and 22%, respectively.
- Bleeding following probing around implants is an important and easily obtained clinical measure of disease.
- In patients with peri-implant mucositis, the failure to adhere to a regular recall schedule was associated with development of peri-implantitis.
- Accumulation of plaque is an established risk for implant complications, which is modifiable. Smoking is also a modifiable environmental risk factor for implant complications. Excess dental cement that is present below the soft tissue margin can be a local risk factor for development peri-implant mucositis.
- Patient-administered plaque control using either a manual or electronic toothbrush is an effective means of plaque removal and can reduce the risk of implant complications.
- Tissue inflammation about implants was reduced with a combination of instruction in oral hygiene methods and professional plaque removal.
- Use of adjunctive agents such as antibiotics and antiseptics did not provide any additional benefit to professional plaque removal to achieve a reduction in tissue inflammation.
A subsequent systematic review on implant outcomes and adherence to a maintenance schedule considered a patient’s history of periodontitis18Howe MS. Implant maintenance treatment and peri-implant health. Evid Based Dent 2017;18:8-10.. The prevalence of peri-implant mucositis and peri-implantitis were greater in patients with a history of periodontitis versus healthy patients. The author concluded that a recall program is to be considered a critical part of implant therapy and suggested an interval of 5-6 months. However, the recall schedule should be tailored to the individual needs of each patient.
A longitudinal (up to 1 year) study of the relationship of plaque scores to probing depths about teeth and implants revealed that in patients with a history of periodontitis demonstrated shallower probing depths about the implants if plaque control was effective19Gabay E, Levin L, Zuabi O, Horwitz J. Plaque score change as an indicator for periimplant health in periodontal patients with immediately restored dental implants. Implant Dent 2015;24:323-327..
In addition, a 5 year longitudinal study compared clinical outcomes of periodontitis patients, and healthy patients, who received dental implants20Graetz C, El-Sayed KF, Geiken A, et al. Effect of periodontitis history on implant success: a long-term evaluation during supportive periodontal therapy in a university setting. Clin Oral Investig 2018;22:235-244.. The outcomes included marginal loss of bone, probing depths, and survival of the implants. Implant survival at 5 years was very high, being greater than 97% in both groups. However, loss of marginal bone and increase in probing depths around the implants were greater for the periodontitis patients versus the periodontally-healthy controls. Critical factors associated with a poor prognosis were probing depths of 4 mm and greater, loss of marginal bone and increasing age. The authors emphasized the importance of a maintenance program following treatment with implants.
An evaluation of the success of short dental implants identified a history of periodontitis and smoking as significant risk factors for reduced implant success21Hasanoglu Erbasar GN, Hocaoglu TP, Erbasar RC. Risk factors associated with short dental implant success: a long-term retrospective evaluation of patients followed up for up to 9 years. Braz Oral Res 2019;33:e030..
A limited number of studies have examined genetic polymorphisms involved in the inflammatory response, as well as specific inflammatory mediators, in relation to implant complications in patients with a history of periodontitis. A study of polymorphisms associated with matrix metalloproteinase 13 (MMP-13, collagenase 3), transforming growth factor beta 3 (TGFβ3, which induces MMP-13) and tissue inhibitor of metalloproteinase 2 (TIMP2, which inhibits matrix metalloproteinase activity) revealed that implant patients with periodontitis were 3.2 times more likely to develop peri-implantitis than were patients without periodontitis22Goncalves Junior R, Pinheiro Ada R, Schoichet JJ, et al. MMP13, TIMP2 and TGFB3 gene polymorphisms in Brazilian chronic periodontitis and peri-implantitis subjects. Braz Dent J 2016;27:128-134.. However, there was no association with the genes coding for MMP-13, TGFβ3 or TIMP2 and the risk for implant complications. Another study examined gene polymorphisms for certain inflammatory mediators, including interleukin 6, interleukin 10 and tumor necrosis factor alpha (TNF-α) and the risk for peri-implantitis in patients with and without a history of periodontitis23Petkovic-Curcin A, Zeljic K, Cikota-Aleksic B, Dakovic D, Tatic Z, Magic Z. Association of cytokine gene polymorphism with peri-implantitis risk. Int J Oral Maxillofac Implants 2017;32:e241-e248.. A history of periodontitis was associated with an increased risk of peri-implantitis (odds ratio = 6.3, with complications observed in 62% of patients with periodontitis, and 20% for those without periodontitis). Logistic regression indicated an association of risk for peri-implantitis with TNF-α. A third study examined the potential importance of levels of mediators associated with breakdown of bone (osteoclastogenesis). Analysis of the gingival biopsies revealed that bone breakdown mediators were found in the tissues of patients with a history of periodontitis. These individuals were also found to be 23 times greater risk of developing inflammatory implant complications24Costa LC, Fonseca MAD, Pinheiro ADR, et al. Chronic periodontitis and RANKL/OPG ratio in peri-implant mucosae inflammation. Braz Dent J 2018;29:14-22..
Conclusions
There are a few important take-away messages for clinicians.
- Recent reports that examine the relationship of a history of periodontitis to implant complications confirm that patients who have a history of periodontitis are at increased risk for implant complications (specifically peri-implant mucositis and peri-implantitis). While success as measured by implant survival is relatively high for all patients (greater than 90% over 5 years), the percent of patients who will experience peri-implant mucositis or peri-implantitis is much higher when there is a history of periodontitis (an increase of 50% or greater).
- There is a paucity of data on the risk of implant complications in patients who are edentulous, have a history of periodontitis and are restored with implants. This likely relates to the absence of information about the reasons for tooth loss in patients who have been edentulous for a long period of time. Nevertheless, if a history of tooth loss related to periodontitis is suspected, then these edentulous patients should be viewed as being at increased risk of implant complications.
- It appears that both patient characteristics (a history of periodontitis), as well as the local environment (for partially dentate individuals, the periodontal status of adjacent teeth) can influence adverse implant outcomes.
- Both personal oral hygiene and professional plaque removal will help reduce the chance of implant complications in patients with a history of periodontitis. The appropriate professional recall interval should be determined for each patient but should be at least twice per year.
- Mechanisms that account for the increased risk of implant complications in patients with a history of periodontitis have not been thoroughly evaluated, but analysis of inflammatory mediators offers promise as a means of identifying at risk patients.
What is clear from this update is the importance of a history of periodontitis to an increased risk of implant complications. One can conclude that these individuals should be informed of this risk prior to treatment. Providers must emphasize that once a patient receives a dental implant, personal and professional follow-up is essential to reduce the chance of complications. This is true for all patients, but especially so for individuals with a history of periodontitis. However, all patients receiving implants have experienced tooth loss, which suggests the possibility of previous neglect or lack of adherence to regular care. It is essential that oral health care providers emphasize to patients that treatment does not conclude with completion of the restoration. They must continue treatment by maintaining optimal oral health via a combination of self-care and routine professional visits.
| Table 1: Current definitions of peri-implant mucositis and peri-implantitis | 
|---|
| Peri-implant mucositis: an inflammatory lesion of the soft tissues surrounding an endosseous implant in the absence of loss of supporting bone or continuing marginal bone loss. Peri-implant mucositis is caused by biofilm accumulation which disrupts the host-microbe homeostasis at the implant-mucosa interface, resulting in an inflammatory lesion.Heitz-Mayfield L.J.A and Salvi, G.E. (2018)25Heitz-Mayfield LJA, Salvi GE. Peri-implant mucositis. J Periodontol 2018;89 Suppl 1:S257-S266. | 
| Peri-implantitis: a pathological condition occurring in tissues around dental implants, characterized by inflammation in the peri-implant connective tissue and progressive loss of supporting bone. The onset of peri-implantitis may occur early during follow-up and the disease progresses in a non-linear and accelerating pattern.Schawarz F, Derks J, Monje A, Wang HL (2018)26Schwarz F, Derks J, Monje A, Wang HL. Peri-implantitis. J Periodontol 2018;89 Suppl 1:S267-S290. | 
References
- 1.Ivanovski S, Lee R. Comparison of peri-implant and periodontal marginal soft tissues in health and disease. Periodontol 2000 2018;76:116-130.
- 2.Heitz-Mayfield LJ, Lang NP. Comparative biology of chronic and aggressive periodontitis vs. peri-implantitis. Periodontol 2000 2010;53:167-181.
- 3.Galindo-Moreno P, Lopez-Martinez J, Caba-Molina M, et al. Morphological and immunophenotypical differences between chronic periodontitis and peri-implantitis - a cross-sectional study. Eur J Oral Implantol 2017;10:453-463.
- 4.Chrcanovic BR, Albrektsson T, Wennerberg A. Periodontally compromised vs. periodontally healthy patients and dental implants: a systematic review and meta-analysis. J Dent 2014;42:1509-1527.
- 5.Zangrando MS, Damante CA, Sant'Ana AC, Rubo de Rezende ML, Greghi SL, Chambrone L. Long-term evaluation of periodontal parameters and implant outcomes in periodontally compromised patients: a systematic review. J Periodontol 2015;86:201-221.
- 6.Sgolastra F, Petrucci A, Severino M, Gatto R, Monaco A. Periodontitis, implant loss and peri-implantitis. A meta-analysis. Clin Oral Implants Res 2015;26:e8-e16.
- 7.Renvert S, Quirynen M. Risk indicators for peri-implantitis. A narrative review. Clin Oral Implants Res 2015;26 Suppl 11:15-44.
- 8.Ting M, Craig J, Balkin BE, Suzuki JB. Peri-implantitis: A comprehensive overview of systematic reviews. J Oral Implantol 2018;44:225-247.
- 9.Monje A, Alcoforado G, Padial-Molina M, Suarez F, Lin GH, Wang HL. Generalized aggressive periodontitis as a risk factor for dental implant failure: a systematic review and meta-analysis. J Periodontol 2014;85:1398-1407.
- 10.Sousa V, Mardas N, Farias B, et al. A systematic review of implant outcomes in treated periodontitis patients. Clin Oral Implants Res 2016;27:787-844.
- 11.Liddelow G, Klineberg I. Patient-related risk factors for implant therapy. A critique of pertinent literature. Aust Dent J 2011;56:417-426; quiz 441.
- 12.Ali K, Kay EJ. What are the long-term survival and complication rates of complete-arch fixed implant rehabilitation in edentulous patients? Evid Based Dent 2019;20:97-98.
- 13.Jemt T. Implant failures and age at the time of surgery: A retrospective study on implant treatment in 2915 partially edentulous jaws. Clin Implant Dent Relat Res 2019;21:686-692.
- 14.Sung CE, Chiang CY, Chiu HC, Shieh YS, Lin FG, Fu E. Periodontal status of tooth adjacent to implant with peri-implantitis. J Dent 2018;70:104-109.
- 15.Isler SC, Uraz A, Kaymaz O, Cetiner D. An evaluation of the relationship between peri-implant soft tissue biotype and the severity of peri-implantitis: A cross-sectional study. Int J Oral Maxillofac Implants 2019;34:187-196.
- 16.Krennmair S, Hunger S, Forstner T, Malek M, Krennmair G, Stimmelmayr M. Implant health and factors affecting peri-implant marginal bone alteration for implants placed in staged maxillary sinus augmentation: A 5-year prospective study. Clin Implant Dent Relat Res 2019;21:32-41.
- 17.Jepsen ME, Gniadecki R. Treatment of primary cutaneous anaplastic large cell lymphoma with superficial x-rays. Dermatol Reports 2015;7:5888.
- 18.Howe MS. Implant maintenance treatment and peri-implant health. Evid Based Dent 2017;18:8-10.
- 19.Gabay E, Levin L, Zuabi O, Horwitz J. Plaque score change as an indicator for periimplant health in periodontal patients with immediately restored dental implants. Implant Dent 2015;24:323-327.
- 20.Graetz C, El-Sayed KF, Geiken A, et al. Effect of periodontitis history on implant success: a long-term evaluation during supportive periodontal therapy in a university setting. Clin Oral Investig 2018;22:235-244.
- 21.Hasanoglu Erbasar GN, Hocaoglu TP, Erbasar RC. Risk factors associated with short dental implant success: a long-term retrospective evaluation of patients followed up for up to 9 years. Braz Oral Res 2019;33:e030.
- 22.Goncalves Junior R, Pinheiro Ada R, Schoichet JJ, et al. MMP13, TIMP2 and TGFB3 gene polymorphisms in Brazilian chronic periodontitis and peri-implantitis subjects. Braz Dent J 2016;27:128-134.
- 23.Petkovic-Curcin A, Zeljic K, Cikota-Aleksic B, Dakovic D, Tatic Z, Magic Z. Association of cytokine gene polymorphism with peri-implantitis risk. Int J Oral Maxillofac Implants 2017;32:e241-e248.
- 24.Costa LC, Fonseca MAD, Pinheiro ADR, et al. Chronic periodontitis and RANKL/OPG ratio in peri-implant mucosae inflammation. Braz Dent J 2018;29:14-22.
- 25.Heitz-Mayfield LJA, Salvi GE. Peri-implant mucositis. J Periodontol 2018;89 Suppl 1:S257-S266.
- 26.Schwarz F, Derks J, Monje A, Wang HL. Peri-implantitis. J Periodontol 2018;89 Suppl 1:S267-S290.


 
	 
	
