I. Review of Patient
- Age: 8 years old
- Initial evaluation: September 4, 2019
- CC: “I’m concerned of ‘black teeth’ on the lower jaw and the alignment of the front top teeth since my son had trauma at age 4.” – Patient’s father
- CC: “My tooth hurts when I chew on something hard.” – Patient
II. Medical and Dental History
- Past Medical History: Healthy
- Diet: Patient has a sweet tooth and really likes chocolates, ice cream, and caramel. He eats sweets at least once a day.
- Hygiene: Patient brushes using a manual toothbrush twice a day (morning and night) with Colgate Kids toothpaste. His father says he brushes on his own for about 4-5 minutes.
- Fluoride: Patient does not use any rinses or varnish. However, he uses Colgate Kids toothpaste.
- Appointment History: Patient is a new patient to the UBC clinic. The last time he was seen by a dentist was in March 2019 in the Philippines.
III. Socioeconomic & Cultural Factors
- Upon discussion with the father, some background information regarding the family’s socioeconomic and cultural factors were discovered:
- Patient is the youngest of two children
- Family recently immigrated from the Philippines – they are still in the process of getting settled
- Wife is not working and is currently looking for a job
- Finances are an issue in the household – the UBC Pediatric Program provides free dental care for all patients (whether or not they have adequate income/insurance)
- Last time patient was seen by a dentist was back in the Philippines
- Cultural considerations were noted regarding the patient’s oral hygiene. The patient is from the Philippines:
- In a National Monitoring and Evaluation Dental Survey conducted by the Department of Health (DOH) in 2011, “Statistics showed that 77% or more than 7 out of 10 [of Filipinos] have never been to a dentist.” 87% of Filipinos suffered from tooth decay.
IV. Extra-Oral & Intra-Oral Examination
- Profile: Straight
- Lip Competence: Yes
- Symmetry: Yes
- Trauma: Patient fell and broke his anterior teeth when he was 4 years old
- Angle’s Molar Classification: Class I
- Angle’s Canine Classification: N/A
- Leeway Space: N/A
- Primate Space: N/A
- Interdental spacing: In the maxilla between 11, 12, 13, 14
- Mandibular/Maxilla Relationship: Class I
- Overbite: 50%, Overjet: 4mm
- Midline: Shift 3mm to the right
- Crowding: Mild in the anterior
- Missing: 53
- Mobility: 85
- Developmental Defects: N/A
- Habits: No history of thumb-sucking or excessive pacifier use, etc.
V. Dental Examination
Carious Lesions: 55OL, 54O/retained root, 64O, 65OL, 75O, 34BO, 83 retained root, 85O
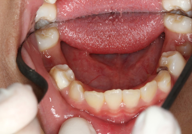
Intra-Oral Photos at Initial Examination
VI. Pre-Treatment Odontogram

Note: Red = caries; Blue = primary teeth; White = permanent teeth
VII. Gingival Health
- Gingival Health: Fistula at 85 buccal; no active drainage
- Gingival Score: 1
0 = Normal gingiva
1 = Mild inflammation (slight change in color, slight edema, no bleeding on probing)
2 = Moderate inflammation: redness, edema, bleeding on probing
3 = Severe inflammation: marked redness and edema, tendency to spontaneous bleeding, ulceration
VIII. Plaque
Plaque Score: 60%
- Amount of plaque score measured as followed:
- 0 = no plaque
- 1 = thin line of plaque at gingival margin
- 2 = plaque covering up to 1/3rd of tooth
- 3 = plaque covering up to 2/3rd of tooth
- 4 = plaque covering greater than 2/3rd of tooth
- Plaque score:
- Maximum total score = 48 (100%)
- Score of 0-3: thoroughly clean mouth (0 – 6%); Score of 10: acceptable plaque score (21%); Score of 10+: oral hygiene needs improvement (22-100%)
IX. Caries Risk Assessment
After going through the Caries Risk Assessment and further discussion with the patient and his father, it was determined that the patient is at high risk to caries. The reducers are not adequate to manage the risks.
X. Behaviour Score
The patient was a Frankl 4 throughout the initial appointment
Rating 1: DEFINITLY NEGATIVE: refusal of treatment, crying forcefully, fearful, or any other overt evidence of extreme negativism
Rating 2: NEGATIVE: reluctant to accept treatment, uncooperative, some evidence of negative attitude but not pronounced i.e. sullen, withdrawn
Rating 3: POSITIVE: acceptance of treatment; at times caution. Willingness to comply with dentist, at time with reservation but patient follows the dentist's direction cooperatively.
Rating 4: DEFINITLY Positive: good rapport with the dentist, interested in the dental procedure, laughing and enjoying the situation
Hicham Riba., et al. “A Review of Behavior Evaluation Scales in Pediatric Dentistry and Suggested Modification to the Frankl Scale”. EC Dental Science 16.6 (2017): 269-275.
XI. Radiographs
XII. Problems, Goals & Planned Therapy
| Problems | Goals | Planned Therapy | |
|---|---|---|---|
| Prevention |
1. 60% plaque score 2. Unsupervised brushing 3. Cariogenic diet |
1. Reduce plaque score to <25% 2. Supervised brushing 3. Diet modification |
1. OHI for parents/patient 2. Fluoride varnish 3. Dietary counseling 4. Fissure Sealants 5. Plaque disclosure at subsequent appointment |
| Behaviour | 1. Frankl 3-4: anxious behaviour which may result in uncooperative behaviour during dental treatment | 1. Frankl 4: cooperative child who accepts dental care | 1. Verbal and non-verbal communication utilizing Tell-Show-Do, active listening, and “I” statements |
| Growth & Development | 1. Loss of primary canine, 1st molar, and 2nd molars, with potential for loss of arch circumference | 1. Maintenance of available arch circumference | 1. Placement of LLHA and Nance (referral to grad clinic) |
| Restorative | 1. Generalized decay |
1. Eliminate active pain & disease 2. Restore function and esthetics |
1. Sequenced restorative treatment plan |
XIII. Sequenced Restorative Treatment Plan
- Appointment # 1
- 46 fissure sealant (US # 30)
- 83 (retained root) (US # R)
- 85 extraction (US # T)
- Appointment # 2
- 36 fissure sealant (US # 19)
- 75 extraction (US # K)
- 34B restoration (composite) (US # 21B)
- Appointment # 3
- 26 fissure sealant (US # 14)
- 63, 64 extraction (US # H, I)
- 65 OL restoration (composite) (US # J OL)
- Appointment # 4
- 16 fissure sealant (US # 3)
- 54 (retained root) (US # B)
- 55 extraction (US # A)
-
Behaviour: Tell-show-do; distract with Youtube/Netflix.
Prevention: Reinforce Oral hygiene & diet counseling during appointments
XIV. Actual Treatment
-
9/4/2019
Appointment #1
Comprehensive oral examination, radiographs, diet counseling, OHI, toothbrush prophylaxis, F varnish
Behaviour Frankl 4 -
9/11/2019
Appointment #2
Panoramic radiograph
46 fissure sealant (US # 30)
85 extraction (US # T)
Reinforce OHI
Behaviour Frankl 4 - 9/18/2019
Appointment #3
34, 36 fissure sealant (US # 21,19)
75 extraction (US # K)
34B composite restoration (US # 21B)
Reinforce OHI
Behaviour Frankl 4 -
9/5/2019
Appointment #4
16 fissure sealant (US # 3)
54 (retained root) (US # B)
55 extraction (US # A)
Reinforce OHI
Behaviour Frankl -
10/2/2019
Appointment #5
63, 64 extraction (US # H, I)
Reinforce OHI
Behaviour Frankl 3 - 10/9/2019
Appointment #6
26 fissure sealant (US # 14)
65 OL composite restoration (US # J OL)
Reinforce OHI
Behaviour Frankl 4 - 10/16/2019
Appointment #7
83 (retained root) extraction (US # R)
Intraoral photos, referral to graduate pediatrics program
Reinforce OHI
Behaviour Frankl 4
XV. Appointment # 1
- During this appointment, I was able to form a rapport with both the patient and his father. We completed a comprehensive oral examination, as well as discussed the treatment plan.
- Radiographs: Based on the American Dental Association guidelines for dental radiograph examinations, selected modified posterior bitewings, occlusals and panoramic were taken to minimize the radiation exposure
- Polishing: To remove plaque and use tell-show-do to familiarize the patient with the handpiece, water triplex and suction
- Fluoride Varnish: Based on the American Academy of Pediatric Dentistry recommendation for fluoride therapy, 5% sodium fluoride varnish was applied to all tooth surfaces after polishing
- Oral Hygiene Aids: Provided the patient with a sample of Colgate Kids with fluoride; soft bristle toothbrush
- Education: Discussed proper oral hygiene care at home and the progression of caries and a high sugar/carbohydrate diet
XVI. Oral Hygiene
- When I asked the patient to show me how he brushed, it was evident that his brushing skills were not adequate. This was the perfect opportunity to show both the patient and his father.
- Brushing Technique: Based on the Canadian Dental Association's recommendation - Hold the toothbrush at 45-degree angle to the teeth. Point the bristles to where the bums and teeth meet. Use gentle circles. Do not scrub. Clean every surface of every tooth. For the front teeth, use the “toe” or the front part of the brush. We also talked about how we can “hurt” the gums by brushing too hard too.
- Fluoridated Toothpaste: Brush 2 times a day with a pea-sized amount of fluoridated toothpaste for 2 minutes (30 seconds per quadrant).
- Parents Observe: The Canadian Dental Association recommends supervised brushing until the age of 6. However, we recommended that either he brushes at the same time with one of his parents (so that they can observe him) or that he brushes first and have his parents help him finish after.
XVII. Dietary Counseling
- The patient’s father mentioned that he has sweets as a recess snack, with lunch, and he snacks on sweets at home before and after dinner.
- We discussed limiting snacking between meals, limiting the amount of sugar/carbohydrate snacks.
- Educated the patient and his father on how the “sugar bugs” enjoy a high sugar/carbohydrate diet.
- Overall helped the patient and his father decide on healthier snack alternatives (i.e. nuts, cheese).
XVIII. Preventative Treatment during Appointments
- The patient required restorative work at each appointment
- Preventative treatment was done by:
- Putting fissure sealants on teeth with deep fissures to prevent future caries progression
- Reinforced patient-parent oral hygiene education
- Encouraged patient to improve his oral hygiene with help from his father
- Showed the patient (with a mirror) and his father the extent of the decay and how oral hygiene and dietary changes can prevent and slow the progression of caries
XIX. Post-Treatment Odontogram

Note: Blue = primary teeth; White = permanent teeth; Yellow = composite; Yellow lines = fissure sealants
XX. Outcomes
- Once treatment was completed, the patient was much more willing to smile
- Patient’s gingiva was pink/coral in colour compared to the erythema that was noted on the first appointment
- Less plaque accumulation on the gingival margins of all the teeth
- All decay was removed and preventative measures (i.e. fissure sealants) were applied
- Improved in-home oral hygiene and dietary changes were were made
- Patient is scheduled with the UBC Graduate Orthodontic Program in December for space maintenance
XXI. Preventative Treatment Outcomes
Throughout the 7 appointments I had with the patient and his father, it was evident that our preventative treatment was effective. Overall it demonstrated that they both understood the importance of good oral hygiene and diet. At the last appointment, it was noted that there was a decrease in plaque accumulation along the gingival margins.
- The patient stated that he brushes twice a day (morning and night) using our “gentle circle” technique.
- The patient’s father mentioned that either he or his wife would brush with his son and inspect his brushing afterwards.
- The father said that he packs nuts and cheese and crackers as a recess snack instead of a juice box and candy bar.
XXII. Summary of Preventative Treatment.
- Oral health and dietary education to prevent future caries and periodontal disease
- Oral hygiene aids (soft bristle toothbrush, fluoride toothpaste)
- Fluoride varnish and fissure sealants to prevent future and further progression of decay
- 6 month recall appointments (instead of annual recalls) since the patient is at high risk for caries
- Continued reinforcement of oral hygiene and health to patient and parents
- Patient referral to the UBC Graduate Orthodontics Program for space maintenance therapy
XXIII. Summary of Preventative Treatment.
- After seeing the patient and his father for 7 appointments, it was clear that the father was becoming more invested in his son’s oral health and often came asking dental related questions, i.e. the pros and cons of a manual toothbrush for his son.
- I was very fortunate to be able to get him out of pain, educate both him and his father about the importance of oral hygiene!
- Although there were some tough appointments for the patient, i.e. getting local anesthetic for the first time, he was always smiling at the end of the appointment and the father was grateful for the work that we do.
- On the very last appointment, he brought me some treats, since I mentioned at one appointment that I LOVE Kit-Kats. He even told me to drink water after and brush my teeth when I had them so that the “sugar bugs” do not get me!









